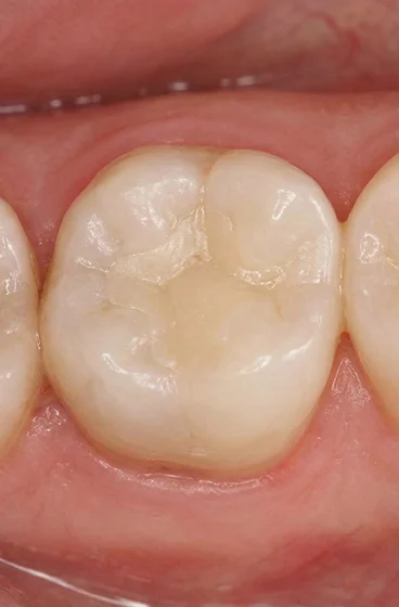
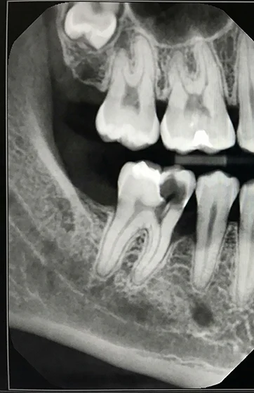
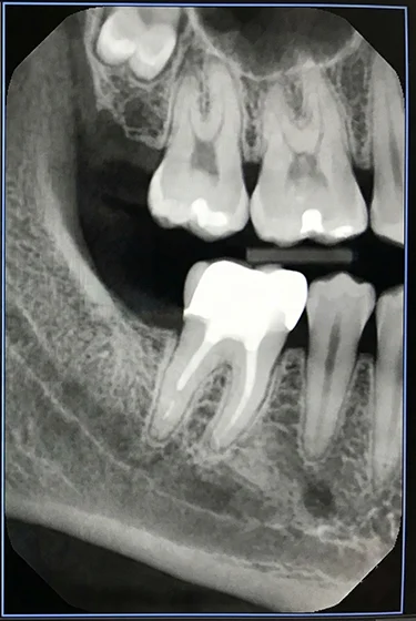
Brush twice a day with fluoridated toothpaste and floss gently around the filled tooth to limit plaque buildup. Avoid chewing ice or hard candies, and reduce sugary snacks to lower the risk of new decay around the filling. If sensitivity lasts or you notice a crack, contact us promptly. With steady care, dental fillings can last for many years.






