Trusted by Thousands, Across 20 Locations
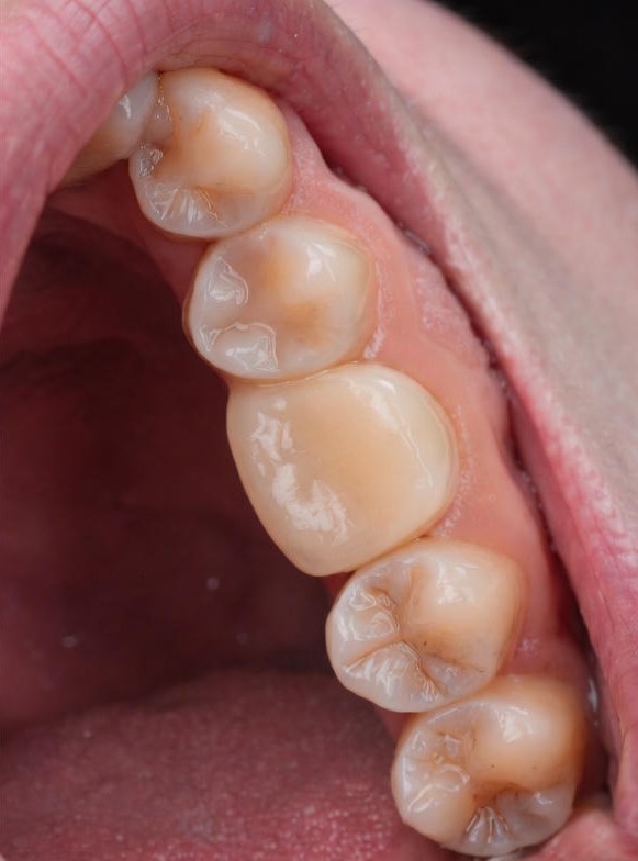
An inlay is a custom‑made piece that fits within the grooves of your tooth, while an onlay extends over one or more cusps. Both preserve more healthy enamel than a full crown and are sometimes called partial crowns.
We recommend these restorations when damage is too extensive for a simple filling but a full crown isn’t needed. They’re used to replace large or failing fillings, fix fractured cusps, manage cavities across multiple surfaces and protect teeth worn by bruxism.
Our prosthodontists offer porcelain or ceramic inlays/onlays for a natural look, composite resin for affordability, gold for unmatched durability and zirconia for high strength. These restorations are fabricated with digital scans or CAD/CAM technology and bonded to your tooth, restoring function and aesthetics while lasting many years.
Our patients are at the heart of everything we do. Read their stories and discover how compassionate care and trusted dentistry have made a difference in their smiles.
| Type | Best Features | Ideal Use |
|---|---|---|
| Porcelain Inlay/Onlay | Natural-looking, blends seamlessly with surrounding enamel | Great for front teeth or any visible area where aesthetics matter |
| Ceramic Inlay/Onlay | Strong, tooth-colored, maintains shade over time | Good for patients who want a durable, aesthetic restoration |
| Composite Resin Inlay/Onlay | Cost-effective, versatile for moderate repairs | Suitable for those seeking a budget-friendly treatment option |
| Gold Inlay/Onlay | Extremely durable, gentle on opposing teeth, long-lasting | Often recommended for back teeth that need strength under heavy chewing |
| Zirconia Inlay/Onlay | Very strong, highly wear-resistant, ideal for bruxism | Best for patients who grind or clench and need maximum durability |
You May Need an Inlay If: |
You May Need an Onlay If: |
|
|
Choosing an inlay or onlay over a large dental filling means selecting a conservative restoration that preserves more natural enamel. Because these restorations are bonded to the tooth, they strengthen remaining structure, distribute chewing forces evenly and seal out bacteria more effectively than direct fillings.
Compared with crowns and bridges, they require less reduction of healthy tissue and often provide a reversible option for younger patients. Porcelain and ceramic versions offer excellent aesthetics, while zirconia and gold deliver long-term durability. If you grind your teeth, a night guard can help protect both the restoration and the surrounding enamel.
Why Many Patients Choose Inlays & Onlays
- Preserve more natural enamel than crowns
- Strengthen weakened tooth structure
- Fit precisely for long-term stability
- Reduce the risk of fractures on remaining enamel
- Provide tighter, smoother margins than large fillings
- Deliver excellent colour matching (porcelain/ceramic)
- Often outlast composite fillings
After placement, treat your tooth normally: brush twice daily with a non‑abrasive toothpaste, floss gently around the margins and rinse with an alcohol‑free mouthwash. Avoid chewing ice or extremely hard foods, especially for the first 24 hours while the adhesive sets. Wear a night guard if you clench or grind your teeth to protect the restoration and adjacent enamel.


Find quick answers to the most common questions our patients ask.
An inlay is a custom restoration that fits within the grooves of a tooth to replace decayed or damaged enamel; an onlay covers one or more cusps and is sometimes called a partial crown. Both are indirect fillings made outside your mouth and then bonded into place.
The difference lies in coverage: inlays sit inside the biting surface between cusps, while onlays extend over at least one cusp and may cover the entire biting surface. Onlays strengthen the tooth like a partial crown without requiring full coverage.
They are recommended when a cavity or fracture is too large for a composite filling but the tooth still has enough healthy enamel to avoid a full crown—commonly for moderate decay, fractured cusps or to replace large failing fillings.
Common options include tooth‑coloured porcelain or ceramic, durable zirconia, repairable composite resin and classic gold alloys. Your dentist will recommend a material based on the tooth’s location, biting forces, desired aesthetics and budget.
With proper care, inlays and onlays often last 10–20 years or more. Their longevity depends on the material used, your bite forces and oral hygiene. Regular checkups and a night guard if you grind your teeth can help maximise their lifespan.
For moderate damage, yes. They are fabricated outside the mouth for a precise fit, bonded for strength and durability, and preserve more natural tooth than a crown. Large fillings can crack or leak over time, whereas inlays/onlays provide longer‑lasting reinforcement.
At the first visit we remove decay and take a digital scan or impression. A custom restoration is then milled in‑office or fabricated in a laboratory. At the second visit (or same day for CAD/CAM), we try in the piece, adjust the bite and bond it with a durable cement.
Porcelain, ceramic and composite resin restorations are colour‑matched to your teeth and polished to blend seamlessly. Zirconia offers strength with a tooth‑coloured appearance. Gold restorations are visible but offer exceptional durability for back teeth.
The fee typically falls between that of a filling and a crown and depends on material, size and number of surfaces. We’ll provide a personalized estimate at your consultation and discuss financing options.
Many PPO dental plans contribute toward partial crowns when treatment is medically necessary. Coverage varies; please visit our Insurance page or call us at (562) 242‑1411 for details.
Brush twice daily, floss carefully around the margins and avoid very hard or sticky foods—especially during the first 24 hours. Wear a night guard if you grind your teeth and attend regular checkups to monitor the restoration.
When enough enamel remains, an onlay can replace a full crown and preserve more of the tooth. However, severely damaged or root‑treated teeth typically require a full‑coverage crown for maximum protection.
Yes. Modern materials such as zirconia, porcelain and gold alloys provide excellent strength for back teeth. When properly designed and bonded, these restorations handle chewing forces on molars and premolars very well.
Complications are uncommon but may include temporary sensitivity, minor fracture or decay around the margins if oral hygiene is poor. Following your dentist’s aftercare instructions and attending regular checkups minimises these risks.
They are designed from digital scans or impressions and milled from a solid block of porcelain, zirconia, composite or cast in gold. Chairside CAD/CAM systems can produce them in a single visit; laboratory‑fabricated restorations require two appointments.
We know a great dental experience goes beyond clinical care. Here’s how we make your visits comfortable and stress‑free.
We’re open seven days a week with evening and weekend appointments at multiple locations. Same‑day visits are available so you never have to wait for relief.
High‑quality dental care should be within reach. We accept most PPO and many HMO plans, offer interest‑free payment plans and have in‑house specials for new patients.
Our modern offices feature state‑of‑the‑art technology, comfortable treatment rooms and entertainment options to help you feel at ease throughout your visit.
Book now and save with our limited‑time offers:
Free X‑rays, exam and consultation. New patients only.
PPO, HMO, or no insurance?
We help you understand your available options before treatment begins. We work with most major PPO and HMO plans. If you don’t have insurance, we explain in-house financing, installment plan and current new-patient offers, including our $49 new patient spezcial.
Our dental offices are typically open 8 AM – 7 PM, including weekends.
Hours may vary by location. Check the location page or call us to confirm availability.
Use my location to find the closest Service Provider near me