Trusted by Thousands, Across 20 Locations
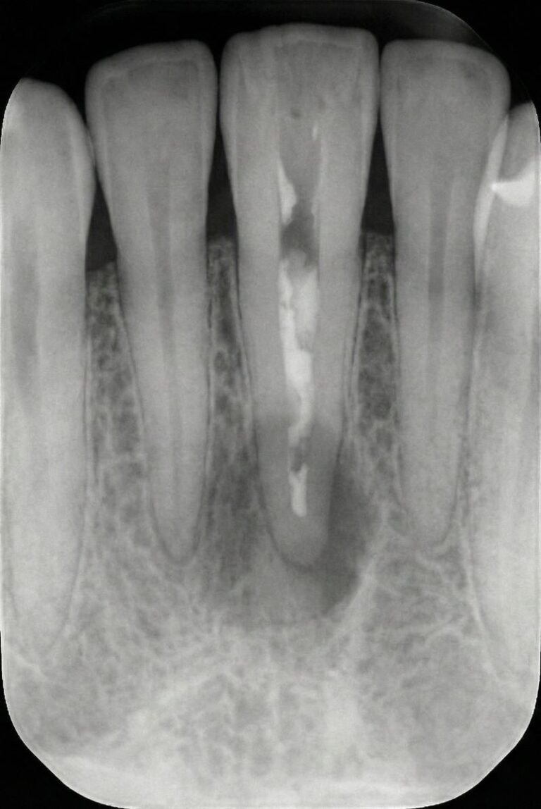
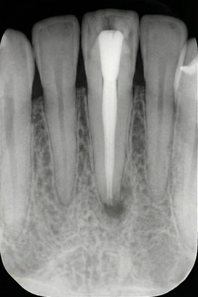
Retreatment of a root canal involves reopening the tooth, removing old gutta-percha and debris, disinfecting the canals and resealing them to eliminate persistent infection. This conservative procedure addresses hidden canals, complex root anatomy or new decay that compromised the original treatment. When standard retreatment is not enough, we may recommend an apicoectomy, which surgically removes the root tip and infected tissue through the gum.
Retreatment may be recommended when previous root canal therapy has not fully resolved the infection. Common signs include:
When these signs are present, retreatment helps remove remaining infection, stabilize the tooth, and prevent further damage. Preserving your natural tooth often protects your bite and jawbone better than extraction and implants. This procedure is typically performed by a specialist with advanced training in endodontics, the field focused on treating the dental pulp and root structures.
We use gentle techniques, modern anaesthesia and sedation, so a root canal feels similar to getting a filling. You stay relaxed while we work.
Root canals save your natural tooth, preserving bite and jawbone. Treating infection early prevents the need for extraction or implants.

Digital 3‑D imaging, rotary instruments and ultrasonic irrigation help us clean canals thoroughly and perform efficient single‑visit treatments.

Our endodontists offer primary and retreatment root canals, pulpotomy, and apicoectomy under one roof—your smile is in expert hands.

Our patients are at the heart of everything we do. Read their stories and discover how compassionate care and trusted dentistry have made a difference in their smiles.
Understanding the difference between saving a previously treated tooth and removing it entirely helps patients make informed decisions.
| Factor | Retreatment Root Canal | Tooth Extraction |
|---|---|---|
| Primary Goal | Remove remaining infection and preserve the natural tooth | Remove the tooth and eliminate infection entirely |
| Tooth Preservation | Keeps the natural root and tooth structure | Natural tooth is permanently removed |
| Impact on Jawbone | Maintains normal chewing forces and jawbone health | Bone loss may occur without replacement |
| Effect on Bite Alignment | Helps maintain proper bite and tooth alignment | May cause shifting of nearby teeth over time |
| Procedure Type | Non-surgical and conservative | Surgical removal of the tooth |
| Comfort During Treatment | Typically well tolerated with local anaesthetic and sedation | Comfortable with anaesthetic but involves post-extraction healing |
| Need for Additional Treatment | Usually requires a crown after healing | Often followed by an implant, bridge, or denture |
| Overall Cost Consideration | Often more cost-effective long term | Total cost increases with tooth replacement |
| Long-Term Outcome | Properly restored teeth can function for decades | Replacement teeth require ongoing maintenance |
When possible, retreatment is often preferred because it preserves the natural tooth and supports long-term oral stability. Oral surgery may be considered when the tooth cannot be predictably saved.
See how careful planning and modern materials create confidence.
When a first root canal doesn’t heal properly, lingering bacteria can cause pain, swelling and bone loss. Retreatment removes old filling material, cleans previously untreated or reinfected canals and reseals the tooth, helping preserve your natural root and avoid extraction or implants.
By keeping the root, you maintain normal chewing forces, jawbone health and proper tooth alignment. Retreatment is often a more conservative and cost-effective option than removing the tooth and replacing it with a bridge or implant. With modern anaesthetic, sedation and rotary instruments, retreatment is typically well tolerated. Many patients compare it to having a filling, and a properly crowned tooth can continue functioning for decades.
Our endodontic care includes retreatment root canals, apicoectomy (a minor procedure at the root tip) and urgent infection management. With 3-D imaging, ultrasonic cleaning and sedation, we customise treatment to your needs, comfort and budget. Patients often seek retreatment when symptoms return years after treatment, and timely evaluation can help prevent tooth loss.
Mild soreness or inflammation is common after retreatment and usually improves with over-the-counter pain relief. Most patients return to normal activities within a day. Avoid chewing on the treated tooth until it is protected with a crown or onlay. Brush twice daily, floss regularly and keep up with professional cleanings. Contact us if you notice swelling, increasing pain, or any looseness in the restoration.




Find quick answers to the most common questions our patients ask.
A retreatment root canal is performed when a previously treated tooth becomes reinfected or fails to heal. The dentist removes old filling material, cleans the canals again and reseals the tooth to support proper healing.
You may need retreatment if pain, swelling or sensitivity returns after a root canal. X-rays showing persistent infection or bone changes also indicate the need for evaluation.
Root canals may fail due to missed canals, complex anatomy, delayed crown placement, new decay or cracks that allow bacteria to re-enter the tooth.
Most patients report discomfort similar to or less than their original root canal. Local anaesthetic and sedation options help keep the procedure comfortable.
In many cases, yes. Retreatment has a high success rate and can remove remaining infection, allowing the tooth to heal properly and helping avoid extraction when conditions are favorable.
Most retreatments take one to two visits, depending on the complexity of the tooth and the extent of infection.
Absolutely. With a success rate of over 85%, retreatment gives your tooth a second chance by eliminating deep-seated infection. It allows the tooth to heal properly and avoids extraction
Retreatment cleans the tooth from inside the canal, while an apicoectomy removes infection from the root tip through a small surgical approach. Retreatment is usually considered first.
When possible, retreatment is often preferred because it preserves the natural tooth, supports jawbone health and maintains proper bite alignment.
With proper restoration and good oral hygiene, a retreated tooth can function for many years and often for decades.
If pain, swelling or sensitivity returns after a root canal, you should see a dentist as soon as possible. Early evaluation helps identify infection or structural issues before they worsen and reduces the risk of tooth loss.
We know a great dental experience goes beyond clinical care. Here’s how we make your visits comfortable and stress‑free.
We’re open seven days a week with evening and weekend appointments at multiple locations. Same‑day visits are available so you never have to wait for relief.
High‑quality dental care should be within reach. We accept most PPO and many HMO plans, offer interest‑free payment plans and have in‑house specials for new patients.
Our modern offices feature state‑of‑the‑art technology, comfortable treatment rooms and entertainment options to help you feel at ease throughout your visit.
Book now and save with our limited‑time offers:
Free X‑rays, exam and consultation. New patients only.
PPO, HMO, or no insurance?
We help you understand your available options before treatment begins. We work with most major PPO and HMO plans. If you don’t have insurance, we explain in-house financing, installment plans, and current new-patient offers, including our $49 new-patient special.
Our dental offices are typically open 8 AM – 7 PM, including weekends.
Hours may vary by location. Check the location page or call us to confirm availability.
Use my location to find the closest Service Provider near me
اگر شما به زبان فارسی صحبت میکنید و به دنبال دندانپزشک فارسی زبان هستید، کلینیک دندانپزشکی Gold Coast Dental آماده ارائه خدماتی مانند دندانپزشک اورژانس، ایمپلنت، ارتودنسی و زیبایی دندان با انواع بیمه به شماست.
Si usted habla español y está buscando un dentista que hable su idioma, la clínica dental Gold Coast Dental ofrece servicios como emergencias dentales, implantes, ortodoncia y estética dental con diferentes seguros.
한국어를 사용하시고 한국어 가능한 치과를 찾고 계시다면, 골드코스트 덴탈 치과 클리닉은 응급치료, 임플란트, 교정 및 미용 치과 서비스를 다양한 보험과 함께 제공합니다.
如果您说中文并正在寻找讲中文的牙医,Gold Coast Dental 牙科诊所提供紧急牙科、种植牙、牙齿矫正和美容牙科服务,并接受各种保险。
日本語を話される方で日本語対応の歯科医をお探しであれば、Gold Coast Dental 歯科クリニックでは救急歯科、インプラント、矯正歯科、美容歯科など、各種保険対応のサービスを提供しています。
Please call (562) 242‑1411 or find your nearest dentist here.