Trusted by Thousands, Across 20 Locations
Wisdom teeth removal is a common oral surgery procedure used to prevent pain, infection, crowding, and damage caused by impacted or poorly positioned third molars.
Wisdom teeth extraction refers to the removal of one or more third molars located at the back of the mouth. These teeth often erupt between the ages of 17 and 25 and may become impacted beneath the gums or bone, or grow in an improper position. During the procedure, the area is numbed with local anesthesia, and sedation may be used based on comfort needs. A small incision is made to access the tooth, which is then carefully loosened and removed. Dissolving stitches may be placed, and gauze is used to control bleeding. The procedure usually takes less than an hour, and patients return home the same day.
We offer local anesthesia, laughing gas, oral conscious sedation and IV sedation so you can stay relaxed and virtually pain‑free throughout the procedure.

Our oral surgeons have extensive training in simple and complex extractions, including impacted and surgical wisdom teeth removal.

We use minimally invasive techniques and provide detailed after‑care instructions so you can heal quickly and return to work or school within days.

Before treatment, you’ll receive a clear cost estimate and insurance benefits breakdown. We offer financing options to make care affordable.

Our patients are at the heart of everything we do. Read their stories and discover how compassionate care and trusted dentistry have made a difference in their smiles.
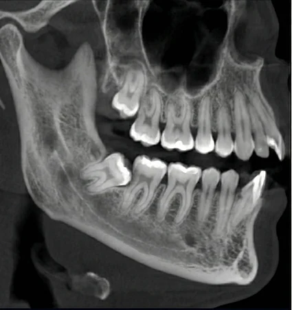
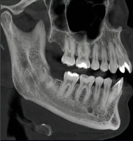
Third molars often grow in crooked or become trapped beneath the gums. Because they sit at the back of the mouth, they are difficult to clean and can trap food and bacteria, raising the risk of infection, decay, cysts, and damage to nearby teeth.
Preventive removal during the late teens or early twenties is often recommended to reduce future complications, protect oral hygiene, and preserve proper tooth alignment.
When Should Wisdom Teeth Be Removed?
Wisdom teeth are often removed when they cause pain, swelling, repeated infections, damage to nearby teeth, or lack enough space to erupt properly. In some cases, early removal is recommended before symptoms appear to lower surgical risk and support easier recovery.
What to Expect During Wisdom Teeth Removal
Not every wisdom tooth requires the same type of extraction. Fully erupted wisdom teeth may be removed with a simple extraction using local anesthesia. Teeth that are impacted beneath the gums or bone often require a surgical approach to allow safe removal.
Sedation options such as nitrous oxide, oral sedation, or IV sedation may be used based on comfort needs, with care provided through sedation dentistry when appropriate. Treatment decisions are guided by X-rays, age, oral health, and individual comfort considerations.
Rest for the first 24 hours and keep your head elevated when lying down. Choose soft foods such as yogurt, mashed potatoes, and smoothies for the first few days. Avoid drinking through straws, smoking, or forceful rinsing, as these actions can interfere with the healing blood clot. Begin gentle salt-water rinses 24 hours after surgery and continue brushing your other teeth carefully. Ice packs and over-the-counter pain relievers can help manage swelling and discomfort during early healing.
Contact our office right away if you experience heavy bleeding, a fever above 102°F, severe pain, or swelling that worsens after three days, as emergency dental care may be needed.
The cost of wisdom teeth removal depends on factors such as the number of teeth involved, whether they are erupted or impacted, and the type of anesthesia used. Treatment complexity often affects cost more than the number of teeth alone.
Insurance coverage varies by plan, and many policies provide partial coverage for extractions. During your consultation, we review your benefits, provide a clear estimate, and discuss payment or financing options before treatment begins.




Find quick answers to the most common questions our patients ask.
Not all wisdom teeth require removal. Extraction is usually recommended when wisdom teeth cause pain, infection, crowding, or cannot be cleaned properly. X-rays help determine whether removal is necessary.
Removal is often recommended during the late teens or early twenties. At this stage, roots are less developed and recovery is usually faster with fewer complications.
Common signs include jaw pain, swelling, repeated gum infections, difficulty opening the mouth, or pressure on nearby teeth. Some impacted wisdom teeth may need removal even before symptoms appear.
The procedure itself is not painful because local anesthesia is used. Sedation options are available to help patients stay relaxed, and post-procedure discomfort is usually manageable with medication and aftercare.
A simple extraction is used when the tooth has fully erupted. Surgical extraction is needed when a wisdom tooth is impacted beneath the gums or bone and requires a more controlled removal approach.
Depending on your comfort needs, options may include local anesthesia, nitrous oxide (laughing gas), oral sedation, or IV sedation. Your dentist will recommend the safest option based on your situation.
Most wisdom teeth removals take less than an hour. Patients usually return home the same day after the procedure.
Initial healing takes a few days, with swelling and soreness improving gradually. Most patients return to work or school within a few days, depending on the complexity of the extraction.
Avoid smoking, drinking through straws, and vigorous rinsing during early healing. These actions can disturb the blood clot and delay recovery.
Delaying removal can increase the risk of infection, damage to nearby teeth, cyst formation, and more complex surgery later. Early evaluation helps reduce these risks.
Cost depends on factors such as the number of teeth removed, whether they are impacted, and the type of anesthesia used. During your consultation, we provide a clear estimate and review insurance or financing options.
You can call (562) 242-1411 — phones are answered 24/7 — or schedule online at book-now to get personalized guidance from our team.
We know a great dental experience goes beyond clinical care. Here’s how we make your visits comfortable and stress‑free.
We’re open seven days a week with evening and weekend appointments at multiple locations. Same‑day visits are available so you never have to wait for relief.
High‑quality dental care should be within reach. We accept most PPO and many HMO plans, offer interest‑free payment plans and have in‑house specials for new patients.
Our modern offices feature state‑of‑the‑art technology, comfortable treatment rooms and entertainment options to help you feel at ease throughout your visit.
Book now and save with our limited‑time offers:
Free X‑rays, exam and consultation. New patients only.
PPO, HMO, or no insurance?
We help you understand your available options before treatment begins. We work with most major PPO and HMO plans. If you don’t have insurance, we explain in-house financing, installment plans, and current new-patient offers, including our $49 new-patient special.
Our dental offices are typically open 8 AM – 7 PM, including weekends.
Hours may vary by location. Check the location page or call us to confirm availability.
Use my location to find the closest Service Provider near me
اگر شما به زبان فارسی صحبت میکنید و به دنبال دندانپزشک فارسی زبان هستید، کلینیک دندانپزشکی Gold Coast Dental آماده ارائه خدماتی مانند دندانپزشک اورژانس، ایمپلنت، ارتودنسی و زیبایی دندان با انواع بیمه به شماست.
Si usted habla español y está buscando un dentista que hable su idioma, la clínica dental Gold Coast Dental ofrece servicios como emergencias dentales, implantes, ortodoncia y estética dental con diferentes seguros.
한국어를 사용하시고 한국어 가능한 치과를 찾고 계시다면, 골드코스트 덴탈 치과 클리닉은 응급치료, 임플란트, 교정 및 미용 치과 서비스를 다양한 보험과 함께 제공합니다.
如果您说中文并正在寻找讲中文的牙医,Gold Coast Dental 牙科诊所提供紧急牙科、种植牙、牙齿矫正和美容牙科服务,并接受各种保险。
日本語を話される方で日本語対応の歯科医をお探しであれば、Gold Coast Dental 歯科クリニックでは救急歯科、インプラント、矯正歯科、美容歯科など、各種保険対応のサービスを提供しています。
Please call (562) 242‑1411 or find your nearest dentist here.