Trusted by Thousands, Across 20 Locations
Snap‑in dentures are removable implant dentures. They clip onto titanium implants using locator abutments, ball‑and‑socket O‑rings or a small bar. Unlike traditional dentures that sit on your gums, these attachments prevent slipping. They also make it easy to remove the denture at night.
By anchoring to implants instead of resting on the gums, snap-in dentures reduce movement, improve bite confidence, and help protect the jawbone from further loss.
Most patients complete the full process within several months, with regular check-ins to protect implant health.
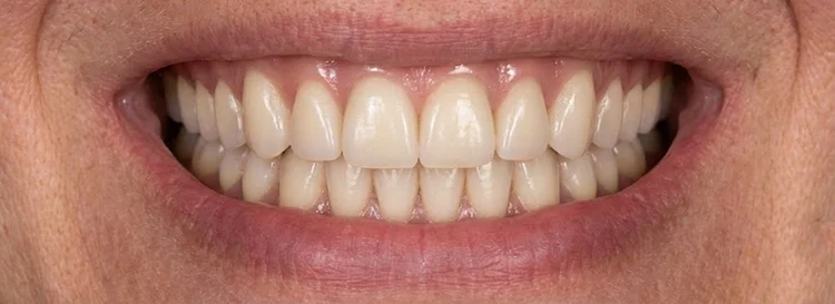
We customise snap-in dentures to fit securely without covering the palate, helping preserve taste, speech clarity, and daily comfort. Patients appreciate the stable, no-slip feel during eating and conversation.

Our implant surgeons and prosthodontists use 3-D imaging and guided surgery for precise placement. Attachment systems are selected based on bone quality, anatomy, and lifestyle.

Treatment options range from two to six implants with different attachment systems to match clinical needs and budget. We explain financing options and help patients understand available insurance benefits.

Each denture is crafted to match natural tooth color, shape, and smile balance for realistic results. The palateless design supports comfort and confidence without the bulk of traditional dentures.

Our patients are at the heart of everything we do. Read their stories and discover how compassionate care and trusted dentistry have made a difference in their smiles.
Attachment choice affects daily comfort, maintenance, and long-term wear. We select the system that fits your bite forces, dexterity, and expectations.
| Attachment Type | How It Works | Key Benefits | Best For |
|---|---|---|---|
| Locator Attachment Denture | Locator abutments screw into implants. The denture snaps onto nylon inserts that lock in place with a low-profile design. Inserts can be replaced as they wear. | Strong retention, discreet fit, easy maintenance | Patients wanting secure hold with simple at-home upkeep |
| Ball Attachment Denture (O-Ring) | Ball-shaped implant attachments connect to rubber O-rings inside the denture, allowing slight rotational movement. | Cost-effective, flexible, comfortable | Patients seeking affordability and natural movement |
| Bar Attachment Denture | A custom-milled metal bar connects implants. The denture clips or magnetically attaches to the bar for maximum stability. | Superior retention, even force distribution | Patients needing maximum stability and long-term durability |
The denture base is made of acrylic resin and the teeth are either acrylic or zirconia. Locator abutments are titanium. Ball and bar attachments use stainless steel or titanium. We take digital scans and use CAD/CAM milling to ensure your denture fits precisely and looks natural. Material selection is based on bite force, aesthetics, and long-term durability, not a one-size-fits-all approach.
Implants help slow bone loss, allowing snap-in dentures to stay stable far longer than traditional dentures. With proper home care, the denture can last well over ten years, and implants often function for decades. Many patients report improved comfort, clearer speech, and the confidence to enjoy foods like steak or apples again.
Loose dentures make chewing difficult, affect speech, and can accelerate bone loss. Snap-in dentures clip onto implants so they don’t slip and help restore bite strength while supporting the jawbone. This option is best evaluated during a clinical exam, not through self-diagnosis or online checklists, even though studies report implant survival rates as high as 96.8% in properly selected and maintained cases.
Clinical studies also show higher quality-of-life scores for implant-retained overdentures compared to conventional dentures, particularly in comfort, chewing ability, and daily confidence.
Many patients also report feeling more comfortable eating, speaking, and smiling in everyday situations. Individual outcomes vary based on bone quality, oral health, and daily care habits.
This option is best evaluated during a clinical exam rather than through self-diagnosis or online checklists.
Many patients explore snap-in dentures after becoming frustrated with loose or bulky plates. This approach combines the flexibility of removable dentures with added stability from dental implants and is often designed without a full palate. When adequate bone is present, snap-in dentures are typically supported by two to six implants and are considered a form of implant-supported denture that improves retention and comfort.
They are commonly recommended when multiple teeth are missing and additional stability is needed, but a fixed hybrid or full-arch solution is not yet the preferred option.
- You want more stability than traditional removable dentures
- You prefer a denture that can be removed for cleaning
- You have sufficient bone to support dental implants
- You are not ready for a fixed full-arch treatment
If you’re unsure which option fits your goals, a consultation helps clarify whether snap-in dentures or another implant-based solution is more appropriate. A clinical exam remains the most reliable way to determine candidacy.
When Another Option May Be a Better Fit
Snap-in dentures work well for many patients, but they’re not the best solution in every situation.
- Patients who want teeth that never come out may prefer fixed hybrids
- Severe bone loss may require grafting or alternative designs
- Patients unable to maintain daily cleaning may need simpler options
Unlike fixed teeth, snap-in dentures still have a slight bulk due to the acrylic base and require daily removal for cleaning. Patients with severe bone loss may also need bone grafting before implants can be placed.


Find quick answers to the most common questions our patients ask.
Snap-in dentures are removable dentures with added stability that attach to dental implants using locking attachments, creating a stable fit for eating and speaking while remaining removable for cleaning. They rely on implants for support rather than suction or gum pressure.
Traditional dentures rest on the gums and can shift during daily use.
Snap-in dentures connect to implants, which significantly reduces movement and improves comfort for many patients.
You may be a candidate if you are missing teeth, struggle with loose dentures, and can support dental implants based on exam and imaging.
Final eligibility depends on bone health and medical history.
Most lower snap-in dentures use 2–4 implants, while upper dentures often require more for stability.
The exact number is determined during treatment planning.
Snap-in dentures are removable by the patient for daily cleaning.
They are not fixed full-arch restorations.
Both systems provide implant retention, but they serve different needs.
Locator attachments are simpler to clean, while bar systems can offer added stability in selected cases.
Treatment typically includes implant placement followed by a healing phase of about 3–6 months before final attachment.
Timelines vary based on healing and clinical factors.
The denture is removed daily for cleaning, and implants are cleaned carefully around the attachments.
Consistent hygiene helps protect implant health.
Remove the denture daily, clean it gently, and clean around implants carefully (soft brush plus floss threaders or a water flosser, as recommended). Consistent cleaning is the best protection against inflammation around implants.
Most patients experience a noticeable improvement in chewing compared to traditional dentures.
Very hard or sticky foods may still need caution.
In some cases, existing implants may be used toward a fixed solution.
Conversion depends on implant position, bone support, and prosthetic design.
Costs vary based on implant number, attachment type, and materials used.
Some insurance plans may contribute, and financing options are often available after evaluation. For a clear estimate, call (562) 242-1411 and we’ll review options after an exam.
We know a great dental experience goes beyond clinical care. Here’s how we make your visits comfortable and stress‑free.
We’re open seven days a week with evening and weekend appointments at multiple locations. Same‑day visits are available so you never have to wait for relief.
High‑quality dental care should be within reach. We accept most PPO and many HMO plans, offer interest‑free payment plans and have in‑house specials for new patients.
Our modern offices feature state‑of‑the‑art technology, comfortable treatment rooms and entertainment options to help you feel at ease throughout your visit.
Book now and save with our limited‑time offers:
Free X‑rays, exam and consultation. New patients only.
PPO, HMO, or no insurance?
We help you understand your available options before treatment begins. We work with most major PPO and HMO plans. If you don’t have insurance, we explain in-house financing, installment plans, and current new-patient offers, including our $49 new-patient special.
Our dental offices are typically open 8 AM – 7 PM, including weekends.
Hours may vary by location. Check the location page or call us to confirm availability.
Use my location to find the closest Service Provider near me
اگر شما به زبان فارسی صحبت میکنید و به دنبال دندانپزشک فارسی زبان هستید، کلینیک دندانپزشکی Gold Coast Dental آماده ارائه خدماتی مانند دندانپزشک اورژانس، ایمپلنت، ارتودنسی و زیبایی دندان با انواع بیمه به شماست.
Si usted habla español y está buscando un dentista que hable su idioma, la clínica dental Gold Coast Dental ofrece servicios como emergencias dentales, implantes, ortodoncia y estética dental con diferentes seguros.
한국어를 사용하시고 한국어 가능한 치과를 찾고 계시다면, 골드코스트 덴탈 치과 클리닉은 응급치료, 임플란트, 교정 및 미용 치과 서비스를 다양한 보험과 함께 제공합니다.
如果您说中文并正在寻找讲中文的牙医,Gold Coast Dental 牙科诊所提供紧急牙科、种植牙、牙齿矫正和美容牙科服务,并接受各种保险。
日本語を話される方で日本語対応の歯科医をお探しであれば、Gold Coast Dental 歯科クリニックでは救急歯科、インプラント、矯正歯科、美容歯科など、各種保険対応のサービスを提供しています。
Please call (562) 242‑1411 or find your nearest dentist here.