Trusted by Thousands, Across 20 Locations
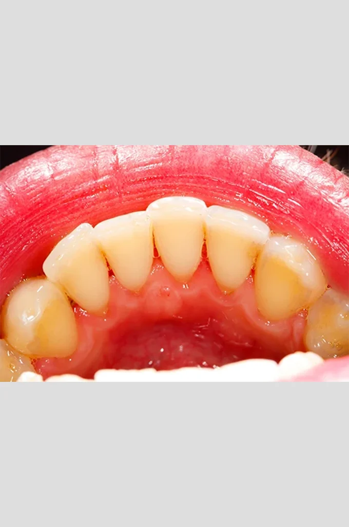
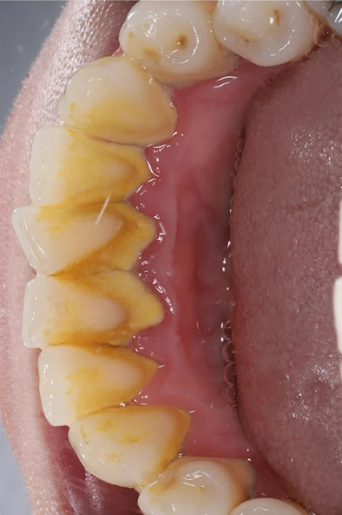
Dental cleaning, also known as prophylaxis, is a preventive treatment that removes plaque and hardened tartar (calculus) from the tooth surfaces and along the gumline.
Our hygienists use ultrasonic scalers to break up buildup, followed by hand instruments for detailed cleaning. Teeth are then polished to smooth the enamel, reduce surface stains and help slow future plaque buildup.
When gum disease causes deeper pockets to form, a routine cleaning is no longer enough. In these cases, deep cleaning (scaling and root planing) is recommended to remove bacteria from below the gumline and support healthier gum attachment.
Our hygienists use ultrasonic scalers with careful hand instruments to remove plaque and tartar efficiently while protecting sensitive enamel and gums.

Each visit includes a detailed exam and low-radiation digital X-rays when needed to spot cavities or bone changes early—before discomfort begins.

Topical fluoride helps strengthen enamel and lower cavity risk. Sealants are available to shield molars, especially for children and teens.
If you feel anxious or have a strong gag reflex, we offer numbing gels, sedation options and calm care to keep your cleaning comfortable.

Our patients are at the heart of everything we do. Read their stories and discover how compassionate care and trusted dentistry have made a difference in their smiles.
The type of cleaning you need depends on gum health and plaque buildup below the gum line.
| Category | Regular Cleaning (Routine) | Deep Cleaning (Scaling & Root Planing) |
|---|---|---|
| Main purpose | Preventive care and routine maintenance | Active treatment for gum inflammation and infection |
| Cleaning depth | Above the gum line | Below the gum line and along tooth roots |
| Who usually needs it | Patients with healthy gums and no bone loss | Patients with periodontal pockets or signs of gum disease |
| Comfort measures | Usually no numbing required | Local numbing is commonly used for comfort |
| Visit structure | Typically completed in one visit | Often completed over one or more visits |
| Insurance coverage | Often covered as preventive care | Usually partially covered, depending on the plan |
| Goal outcome | Maintain healthy teeth and gums | Stabilize gum health and slow disease progression |
If deeper cleaning is recommended, we explain the findings clearly so you know exactly why it’s needed.
See how careful planning and modern materials create confidence.
Dental cleaning helps prevent cavities, gum disease, and bad breath by removing plaque and tartar as part of preventive dentistry. Professional cleanings reach areas your toothbrush can’t, allowing us to monitor gum health, catch decay early and provide preventive care like fluoride or sealants to keep teeth strong and breath fresh.
How Often Should You Get a Dental Cleaning?
Most patients benefit from professional cleanings every six months as part of routine preventive care.
Patients with a history of gum disease, frequent plaque buildup, orthodontic appliances, or higher cavity risk may need cleanings every three to four months to maintain gum stability and reduce inflammation. Cleaning frequency is determined by gum health, pocket depth measurements, and overall risk assessment during your exam.
Who Needs Routine Dental Cleanings?
- Patients with healthy gums and no bone loss
- People prone to plaque or tartar buildup
- Patients with a history of cavities
- Anyone focused on maintaining long-term oral health
Brush twice daily with fluoride toothpaste and a soft‑bristled brush. Floss every day to remove plaque between teeth. Limit sugary snacks and acidic drinks. Drink plenty of water and chew sugar‑free gum to stimulate saliva. Replace your toothbrush every 3–4 months or sooner if bristles fray. Regular preventive dental care at home complements professional cleanings for long-term oral health.
Building healthy habits from the start
Children should see the dentist by their first birthday and continue with routine cleanings every six months as part of pediatric dentistry.Our gentle team teaches proper brushing and flossing, applies fluoride and sealants, and monitors growth. We encourage parents to accompany kids to set a positive example. Teens with braces or aligners may need cleanings every 3–4 months to prevent decalcification and gum inflammation. Professional cleanings help reduce inflammation and the risk of gum problems, and can support gum disease therapy when needed.
Same‑day relief when your smile needs it most
If you have severe tooth pain, swelling or dental trauma, call us right away. Cleanings are usually postponed during active infection, but we’ll treat the urgent issue first and schedule preventive care once healing begins.




Find quick answers to the most common questions our patients ask.
A dental cleaning (prophylaxis) removes plaque, tartar and stains from your teeth. A hygienist uses ultrasonic and hand instruments to clean above and just below the gumline, polishes your teeth and provides fluoride or sealants if needed. A dentist then examines your mouth and reviews X‑rays.
Most patients benefit from a dental cleaning every six months. Some may need more frequent visits if they build tartar quickly or have a history of gum disease.
A deep cleaning, or scaling and root planing, treats gum disease by removing plaque and tartar from below the gumline and smoothing root surfaces. Numbing may be used for comfort. The gums can then heal and reattach to the teeth. You may need two visits to complete all areas.
Routine cleanings are typically painless. You may feel vibration from the ultrasonic scaler or slight pressure with hand instruments. If you have sensitive teeth or deep pockets, we can apply numbing gel or offer sedation to ensure your comfort.
Yes. Cleaning removes plaque and tartar, creating an ideal surface for whitening. Many patients schedule whitening immediately after a cleaning for optimal results. We offer in‑office Zoom! whitening and custom take‑home trays.
Most dental insurance plans cover two preventive cleanings and exams per year at little to no cost. Deep cleanings or additional procedures may have copays. We’ll verify your benefits and explain any out‑of‑pocket expenses before treatment.
A routine cleaning and exam typically takes about 45–60 minutes. Deep cleanings or additional procedures may require more time or multiple visits. We aim to provide thorough care while respecting your schedule.
Absolutely. Special instruments and techniques allow us to clean around brackets, wires, crowns and bridges. Frequent cleanings help prevent decalcification around orthodontic appliances and ensure restorations remain healthy.
It’s never too late to prioritise your oral health. We’ll perform a comprehensive exam and likely recommend a deep cleaning to remove accumulated tartar. Our team is non‑judgmental and focused on restoring your smile comfortably. Sedation options are available if you’re anxious.
Yes. We offer family scheduling and can accommodate multiple members in a single visit. Ask about our new patient specials and membership plans that reduce costs for routine care. We also provide gentle cleanings for kids and seniors.
We know a great dental experience goes beyond clinical care. Here’s how we make your visits comfortable and stress‑free.
We’re open seven days a week with evening and weekend appointments at multiple locations. Same‑day visits are available so you never have to wait for relief.
High‑quality dental care should be within reach. We accept most PPO and many HMO plans, offer interest‑free payment plans and have in‑house specials for new patients.
Our modern offices feature state‑of‑the‑art technology, comfortable treatment rooms and entertainment options to help you feel at ease throughout your visit.
Book now and save with our limited‑time offers:
Free X‑rays, exam and consultation. New patients only.
PPO, HMO, or no insurance?
We help you understand your available options before treatment begins. We work with most major PPO and HMO plans. If you don’t have insurance, we explain in-house financing, installment plans, and current new-patient offers, including our $49 new-patient special.
Our dental offices are typically open 8 AM – 7 PM, including weekends.
Hours may vary by location. Check the location page or call us to confirm availability.
Use my location to find the closest Service Provider near me
اگر شما به زبان فارسی صحبت میکنید و به دنبال دندانپزشک فارسی زبان هستید، کلینیک دندانپزشکی Gold Coast Dental آماده ارائه خدماتی مانند دندانپزشک اورژانس، ایمپلنت، ارتودنسی و زیبایی دندان با انواع بیمه به شماست.
Si usted habla español y está buscando un dentista que hable su idioma, la clínica dental Gold Coast Dental ofrece servicios como emergencias dentales, implantes, ortodoncia y estética dental con diferentes seguros.
한국어를 사용하시고 한국어 가능한 치과를 찾고 계시다면, 골드코스트 덴탈 치과 클리닉은 응급치료, 임플란트, 교정 및 미용 치과 서비스를 다양한 보험과 함께 제공합니다.
如果您说中文并正在寻找讲中文的牙医,Gold Coast Dental 牙科诊所提供紧急牙科、种植牙、牙齿矫正和美容牙科服务,并接受各种保险。
日本語を話される方で日本語対応の歯科医をお探しであれば、Gold Coast Dental 歯科クリニックでは救急歯科、インプラント、矯正歯科、美容歯科など、各種保険対応のサービスを提供しています。
Please call (562) 242‑1411 or find your nearest dentist here.