Trusted by Thousands, Across 20 Locations
Implant‑supported dentures, sometimes called implant overdentures or hybrid bridges, replace multiple missing teeth by anchoring a denture to dental implants. Removable overdentures attach to implants via locator snaps or bar clips and can be taken out for cleaning. Fixed hybrid dentures screw into four or more implants and stay in place 24/7 — only a dentist removes them for maintenance. Both options deliver improved function and prevent bone loss.
Implant-supported dentures may not be recommended for patients with uncontrolled medical conditions, active gum disease, or insufficient bone volume without grafting. A clinical evaluation is needed to determine suitability.
Patients choose our implant denture team for clear treatment planning, consistent outcomes, and reliable support before and after care.
Digital 3D imaging, guided implant placement, and sedation options support accurate, comfortable treatment with experienced clinical oversight.

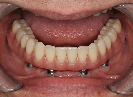
Tooth shape, size, and shade are selected to match facial features. Hybrid restorations use high-quality materials for a natural, balanced look.

Most PPO plans are accepted, with financing options available to spread costs over time. Our team explains coverage and payment details clearly.

Our patients are at the heart of everything we do. Read their stories and discover how compassionate care and trusted dentistry have made a difference in their smiles.
| Feature | Implant-Supported Dentures | Regular (Traditional) Dentures |
|---|---|---|
| Stability & Fit | Highly stable – fixed or snap-on | May feel loose; can shift during eating or speaking |
| Chewing Power | Significantly improved biting efficiency | Limited biting efficiency |
| Bone Preservation | Helps reduce jawbone loss | Bone resorption may occur over time |
| Lifespan | Long-lasting with proper care | Typically requires replacement every few years |
| Daily Removal | Fixed: not removed; snap-in: removed for cleaning | Removed daily |
| Speech | Stable fit supports clear speech | May affect speech clarity |
| Food Restrictions | Fewer dietary limitations | Many firm or sticky foods are difficult |
| Comfort | Even pressure distribution across implants | May cause pressure points or gum irritation |
| Appearance | Helps support facial structure | Facial volume may change over time |
| Maintenance | Brush and floss similar to natural teeth | Soaking, adhesives, frequent relining |
| Initial Cost | Higher upfront investment | Lower initial cost |
| Long-Term Cost | Fewer replacements over time | Ongoing replacement and adhesive costs |
| Surgical Procedure | Implant placement required | No surgery required |
| Same-Day Teeth Possible | Available in select cases | Not available |
Once patients understand the differences between implant-supported and traditional dentures, the next step is choosing the implant denture style that best fits their needs.
An All-on-4 full-arch dental implant solution uses four strategically placed implants to support a complete set of teeth. This approach is often referred to as “Teeth-in-a-Day” because, in many cases, temporary teeth can be placed on the same day as surgery. It is commonly chosen by patients who want a stable, fixed option with a shorter overall treatment timeline.
A snap-in implant-supported denture, also called a removable overdenture, connects to dental implants using locator attachments. Typically supported by two to six implants, it offers improved stability compared to traditional dentures while still allowing the denture to be removed at home for daily cleaning. This option is often selected for its balance of function, hygiene, and affordability.
Fixed hybrid implant dentures are screw-retained on four or more implants and function much like a permanent set of teeth. Unlike removable options, they are only taken out by a dental professional during maintenance visits. Many patients prefer this option for its natural appearance, strong bite force, and stability that exceeds that of conventional dentures.
| Option | Best For | Removal | Stability |
|---|---|---|---|
| All-on-4 | Fast full-arch replacement | Dentist only | Maximum |
| Snap-In Denture | Easy home cleaning | Patient | High |
| Fixed Hybrid | Permanent-feel solution | Dentist only | Maximum |
| Option | Implant Count | Removable? | Typical Cost Range* |
|---|---|---|---|
| Snap-On Denture | 2 Implants | Yes (Daily) | $4,000 – $8,000 |
| Bar-Retained Denture | 3–4 Implants | Yes (Daily) | $6,000 – $12,000 |
| All-on-4 (Hybrid) | 4 Implants | No (Fixed) | $15,000 – $25,000 |
*Cost ranges vary based on bone condition, materials, and clinical needs. A consultation is required for an exact estimate. Schedule a consultation.
Traditional removable dentures can slip, click, or cause sore spots because they rest on the gums. Implant-supported dentures anchor to the jawbone by using dental implants to attach dentures to the implants, improving chewing ability, speech clarity, and overall comfort. By transferring forces to the bone, they also help maintain facial structure and reduce bone loss over time. Clinical research has consistently shown that patients with implant-supported dentures experience improved function and higher oral health–related quality of life compared to conventional dentures.
Clean around implants twice daily using a soft toothbrush and implant-safe toothpaste. Removable overdentures should be detached daily for gentle brushing and soaking in a denture cleaner. Fixed hybrid bridges require floss threaders or water flossers to clean beneath the restoration. Regular implant maintenance visits every six months allow your dental team to monitor bone levels and service attachments or screws as needed.




Find quick answers to the most common questions our patients ask.
Implant‑supported dentures are prosthetic teeth anchored to dental implants rather than resting on the gums alone. Overdentures snap onto implants and can be removed at home; fixed hybrid dentures are screw‑retained and stay in place until removed by your dentist.
Conventional dentures sit on top of your gums and rely on suction or adhesive. Implant‑supported dentures anchor to implants, providing greater stability, chewing power and bone preservation. They don’t loosen or click when you talk or eat.
Removable overdentures can be taken out daily for cleaning. Fixed hybrid dentures are permanently attached and only removed by your dentist at checkups. We’ll recommend the best option based on your anatomy, budget and hygiene preferences.
From consultation to final delivery, treatment typically spans 3–6 months. This includes implant placement, healing (osseointegration) and fabrication of your custom overdenture or fixed bridge. Same‑day provisional dentures may be worn immediately after implant placement.
The cost depends on the number of implants, type of denture, and materials used. Removable overdentures supported by two implants typically range from $4,000–$7,000 per arch, while fixed hybrid bridges supported by four or more implants usually range from $12,000–$25,000 per arch. A personalized estimate is provided during your free consultation, along with insurance and financing options.
Many PPO dental plans cover portions of implant surgery or prosthetic components when medically necessary. Coverage varies by plan, but benefits often range from 50–80% after deductible. Our team verifies benefits in advance and assists with all insurance paperwork.
Implant placement is performed with local anesthesia and optional sedation to keep you comfortable. Mild swelling or soreness for a few days is normal and managed with medication. Once healed, implant-supported dentures are usually more comfortable than traditional dentures.
Brush around implants twice daily with a soft toothbrush. Removable overdentures should be taken out daily, brushed, and soaked. Fixed hybrid dentures require floss threaders or a water flosser to clean underneath. Maintenance visits every six months help protect implants long-term.
Yes. Many long-term denture wearers successfully transition to implant-supported dentures. Bone levels are evaluated first, and bone grafting may be recommended if needed to ensure safe implant placement.
Yes. Dental implants stimulate the jawbone similarly to natural tooth roots, helping reduce bone loss that commonly occurs with traditional dentures. This preserves facial structure and long-term denture stability.
Most patients find the improved chewing ability, comfort, confidence, and bone preservation justify the cost. Implant-supported dentures often require fewer adjustments and can last decades with proper care. Financing options are available.
Standard treatment takes 3–6 months to allow implants to integrate with bone. However, with All-on-4 / Teeth-in-a-Day, a temporary fixed bridge may be placed the same day as implant surgery, providing an immediate smile while healing continues.
We know a great dental experience goes beyond clinical care. Here’s how we make your visits comfortable and stress‑free.
We’re open seven days a week with evening and weekend appointments at multiple locations. Same‑day visits are available so you never have to wait for relief.
High‑quality dental care should be within reach. We accept most PPO and many HMO plans, offer interest‑free payment plans and have in‑house specials for new patients.
Our modern offices feature state‑of‑the‑art technology, comfortable treatment rooms and entertainment options to help you feel at ease throughout your visit.
Book now and save with our limited‑time offers:
Free X‑rays, exam and consultation. New patients only.
PPO, HMO, or no insurance?
We help you understand your available options before treatment begins. We work with most major PPO and HMO plans. If you don’t have insurance, we explain in-house financing, installment plans, and current new-patient offers, including our $49 new-patient special.
Our dental offices are typically open 8 AM – 7 PM, including weekends.
Hours may vary by location. Check the location page or call us to confirm availability.
Use my location to find the closest Service Provider near me
اگر شما به زبان فارسی صحبت میکنید و به دنبال دندانپزشک فارسی زبان هستید، کلینیک دندانپزشکی Gold Coast Dental آماده ارائه خدماتی مانند دندانپزشک اورژانس، ایمپلنت، ارتودنسی و زیبایی دندان با انواع بیمه به شماست.
Si usted habla español y está buscando un dentista que hable su idioma, la clínica dental Gold Coast Dental ofrece servicios como emergencias dentales, implantes, ortodoncia y estética dental con diferentes seguros.
한국어를 사용하시고 한국어 가능한 치과를 찾고 계시다면, 골드코스트 덴탈 치과 클리닉은 응급치료, 임플란트, 교정 및 미용 치과 서비스를 다양한 보험과 함께 제공합니다.
如果您说中文并正在寻找讲中文的牙医,Gold Coast Dental 牙科诊所提供紧急牙科、种植牙、牙齿矫正和美容牙科服务,并接受各种保险。
日本語を話される方で日本語対応の歯科医をお探しであれば、Gold Coast Dental 歯科クリニックでは救急歯科、インプラント、矯正歯科、美容歯科など、各種保険対応のサービスを提供しています。
Please call (562) 242‑1411 or find your nearest dentist here.