Trusted by Thousands, Across 20 Locations
Periodontics is the specialty that prevents, diagnoses and treats diseases of the gums and bone surrounding your teeth. Healthy gums provide a firm foundation for eating, speaking and smiling. When plaque and tartar build up, the gums become inflamed (gingivitis) and can progress to periodontitis—a destructive infection that causes gum recession and bone loss.
Our periodontists manage everything from early gingivitis to advanced periodontitis through gum disease therapy. Treatments include scaling and root planing (deep cleaning), laser therapy, pocket reduction surgery, gum grafts, cosmetic gum recontouring and dental implant placement when teeth cannot be saved. With regular maintenance and home care, we help you keep your natural teeth for life and reduce the need for advanced restorations such as inlays and onlays.
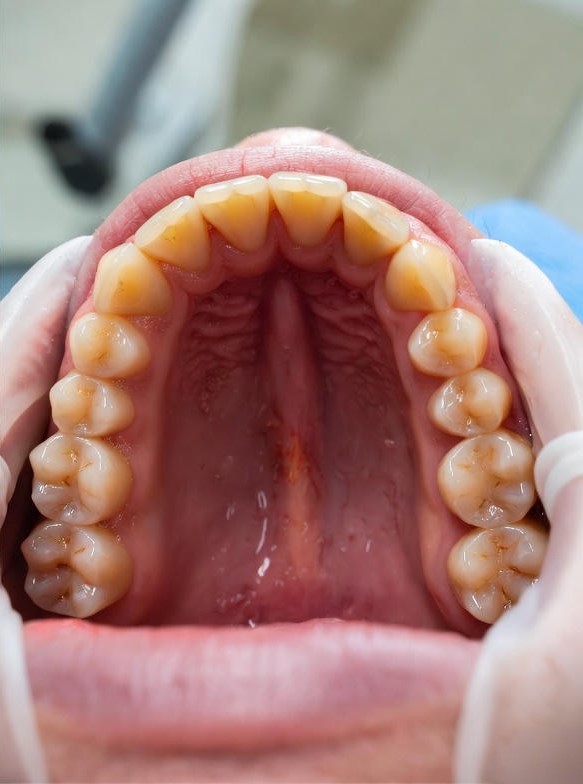
We perform periodontal probing, digital X‑rays and 3D imaging to assess pocket depths, bone levels and gum health. This thorough diagnosis guides your personalised treatment plan.

We offer non‑surgical scaling & root planing, laser gum therapy, regenerative procedures and minimally invasive surgery. Our goal is to stop infection and encourage tissue healing.

Local anaesthesia, nitrous oxide and oral sedation keep you relaxed during treatment. We tailor pain management to your needs and ensure a calm, supportive environment.
For teeth that cannot be saved, our team handles extractions, bone grafts and implant placement. Restoring your gums and replacing lost teeth under one roof simplifies your care.

Our patients are at the heart of everything we do. Read their stories and discover how compassionate care and trusted dentistry have made a difference in their smiles.
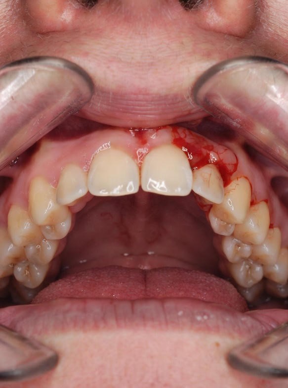
Untreated gum disease doesn’t just cause bad breath—it destroys the bone and connective tissues that support your teeth. As pockets deepen and infection spreads, teeth become loose and may fall out. Periodontal bacteria have also been linked to cardiovascular disease, diabetes complications and pregnancy problems. Taking care of your gums protects your overall health and allows you to keep your natural teeth.
Early intervention, including professional dental cleanings, keeps treatment conservative. Scaling & root planing can halt disease progression if caught in time. Delaying care can lead to painful abscesses, emergency swelling and costly surgery. We encourage regular checkups and maintenance to keep your gums firm and infection‑free.
Brush along the gumline with a soft‑bristled toothbrush and fluoride toothpaste twice a day. Use an interdental brush or floss to clean between teeth and under the gums. Rinse with an antimicrobial mouthwash to reduce bacteria. Avoid tobacco and limit sugary snacks, which feed bacteria. Replace your toothbrush every 3–4 months. If you have a nightguard or splint, wear it as directed to prevent clenching and further recession.
Same‑day relief for swollen or painful gums. Periodontal abscesses and sudden swelling need immediate attention.
Call us if you experience severe gum pain, Loose or shifting teeth, receding gum line (teeth look longer), persistent bad breath, swelling, bleeding that won’t stop.
We’ll see you as soon as possible, clean the infected area, drain any pus and prescribe medication to control the infection. We use pain-free laser technology and sedation options are available. Timely treatment prevents tooth loss and relieves discomfort quickly.




Find quick answers to the most common questions our patients ask.
Periodontics focuses on the health of your gums and the bone that supports your teeth. A periodontist treats gum disease, gum recession, bone loss, and helps protect teeth that may feel loose or sensitive.
Early signs include bleeding while brushing, red or swollen gums, ongoing bad breath, and gums that look like they’re pulling away from the teeth. Many people feel no pain at first, which is why gum disease often goes unnoticed.
You may need a periodontist if you have gum recession, loose teeth, deep gum pockets, or bleeding that doesn’t stop with regular cleanings. A periodontist checks areas below the gumline that standard visits may not fully address.
You may need a periodontist if you have ongoing gum bleeding, gum recession, loose teeth or changes in how your teeth fit together. A specialist examines deeper areas that regular cleanings may not reach.
Most patients return every 3 to 4 months after treatment. These visits help control bacteria, check gum pockets, and keep inflammation from coming back.
A periodontal exam includes measuring gum pockets, checking bone levels, reviewing X-rays, and looking at risk factors such as smoking, diabetes, or family history. This helps us understand what your gums need now and later.
Yes. Ongoing gum infection has been linked to heart disease, diabetes control issues, and pregnancy concerns. Treating gum disease helps support both oral health and general wellness.
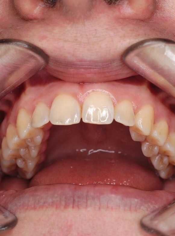
Gum recession can come from brushing too hard, grinding teeth, genetics, smoking, or long-term inflammation. A periodontist looks at the cause and explains ways to protect exposed roots.
Most treatments are done with local numbing to keep you comfortable. Many patients say the experience feels easier than expected, and soreness afterward is usually mild and temporary.
Without care, gum disease can lead to bone loss, tooth movement, and tooth loss. Treating it earlier helps keep your natural teeth longer and avoids more involved procedures later.
Yes. Some people have gum disease below the surface with few visible signs. If you have risk factors like smoking, diabetes, or a family pattern of gum problems, a specialist visit can be helpful.
Yes. A periodontist can adjust excess gum tissue to improve balance between the teeth and gums. This treatment is often called gum contouring and focuses on appearance and comfort.
You can call (562) 242-1411 — phones are answered 24/7 — or visit
https://goldcoastdental.com/book-now
to schedule a visit or ask questions about periodontal care.
We know a great dental experience goes beyond clinical care. Here’s how we make your visits comfortable and stress‑free.
We’re open seven days a week with evening and weekend appointments at multiple locations. Same‑day visits are available so you never have to wait for relief.
High‑quality dental care should be within reach. We accept most PPO and many HMO plans, offer interest‑free payment plans and have in‑house specials for new patients.
Our modern offices feature state‑of‑the‑art technology, comfortable treatment rooms and entertainment options to help you feel at ease throughout your visit.
Book now and save with our limited‑time offers:
Free X‑rays, exam and consultation. New patients only.
PPO, HMO, or no insurance?
We help you understand your available options before treatment begins. We work with most major PPO and HMO plans. If you don’t have insurance, we explain in-house financing, installment plans, and current new-patient offers, including our $49 new-patient special.
Our dental offices are typically open 8 AM – 7 PM, including weekends.
Hours may vary by location. Check the location page or call us to confirm availability.
Use my location to find the closest Service Provider near me
اگر شما به زبان فارسی صحبت میکنید و به دنبال دندانپزشک فارسی زبان هستید، کلینیک دندانپزشکی Gold Coast Dental آماده ارائه خدماتی مانند دندانپزشک اورژانس، ایمپلنت، ارتودنسی و زیبایی دندان با انواع بیمه به شماست.
Si usted habla español y está buscando un dentista que hable su idioma, la clínica dental Gold Coast Dental ofrece servicios como emergencias dentales, implantes, ortodoncia y estética dental con diferentes seguros.
한국어를 사용하시고 한국어 가능한 치과를 찾고 계시다면, 골드코스트 덴탈 치과 클리닉은 응급치료, 임플란트, 교정 및 미용 치과 서비스를 다양한 보험과 함께 제공합니다.
如果您说中文并正在寻找讲中文的牙医,Gold Coast Dental 牙科诊所提供紧急牙科、种植牙、牙齿矫正和美容牙科服务,并接受各种保险。
日本語を話される方で日本語対応の歯科医をお探しであれば、Gold Coast Dental 歯科クリニックでは救急歯科、インプラント、矯正歯科、美容歯科など、各種保険対応のサービスを提供しています。
Please call (562) 242‑1411 or find your nearest dentist here.