What counts as a true dental emergency is one of the most common questions dentists hear when a patient calls with sudden pain, swelling, or a dental injury. A chipped tooth might look alarming but often isn’t urgent. A mild toothache can feel tolerable but might hide a deeper infection. Meanwhile, a knocked-out tooth or rapidly spreading facial swelling can require immediate care to prevent permanent damage or serious complications.
For patients in Artesia, California, understanding the difference between urgent dental care and a true emergency can save time, reduce anxiety, and sometimes even save a tooth. Many dental conditions feel frightening in the moment. Yet dentists categorize dental problems based on how quickly they threaten oral health, surrounding tissues, or overall medical safety.
Some situations require treatment within minutes. Others can safely wait until the next day or the next available appointment. Knowing how to respond helps patients make better decisions during stressful situations.
Quick Overview: Dental Emergencies vs. Situations That Can Wait
Before exploring details, it helps to see a quick triage overview.
| Situation | Urgency Level | What to Do |
|---|---|---|
| Knocked-out permanent tooth | Immediate emergency | Reinsert or store in milk and contact a dentist immediately |
| Severe facial swelling from infection | Emergency | Seek urgent dental care |
| Uncontrolled bleeding after injury | Emergency | Apply pressure and seek emergency care |
| Cracked tooth with pain | Urgent | See a dentist within 24 hours |
| Lost crown or filling | Non-urgent | Schedule appointment soon |
| Minor chipped tooth | Routine | Cosmetic repair later |
This guide explains why these situations differ, what symptoms matter most, and how to respond until professional care becomes available.
What Exactly Is a True Dental Emergency?
A true dental emergency refers to a condition requiring immediate treatment to prevent permanent damage, infection spread, or serious complications. Dentists usually classify emergencies into three categories:
- Trauma that threatens the survival of a tooth
- Infection that may spread into surrounding tissues
- Bleeding that does not stop with pressure
Examples include:
- a knocked-out permanent tooth
- a dental abscess causing facial swelling
- uncontrolled bleeding after trauma
- severe infection with fever
- injury affecting multiple teeth or the jaw
Dental emergencies differ from urgent dental problems. An urgent problem may cause pain but does not immediately threaten oral health.
Technical detail: periodontal ligament survival
The root of a tooth is surrounded by microscopic fibers called the periodontal ligament. When a tooth is knocked out, these cells begin to die quickly. Studies show the best chance of saving a tooth occurs when it is replanted within 30–60 minutes.
That is why dentists treat avulsed teeth as one of the most time-sensitive dental emergencies.
When Should You Call an Emergency Dentist Right Away in Artesia?
Patients in Artesia often wonder when dental symptoms require immediate help rather than waiting for a regular appointment.
You should contact an emergency dentist right away if you experience:
- severe tooth pain that does not improve with medication
- swelling in the jaw or face
- trauma causing a tooth to break or loosen
- a knocked-out permanent tooth
- bleeding in the mouth that does not stop
These symptoms may indicate infection, nerve damage, or trauma affecting oral structures.
Many dental offices reserve same-day emergency appointments for these situations. Calling quickly allows the dental team to provide guidance and prepare for treatment.
Warning signs requiring immediate attention
Certain symptoms suggest the infection or injury could worsen rapidly:
- swelling spreading toward the eye or neck
- fever with dental pain
- difficulty swallowing
- severe pressure pain when biting
These signs may indicate a deeper infection or abscess.
Is Severe Tooth Pain Always a Dental Emergency?
Severe tooth pain often prompts patients to search for an emergency dentist near Artesia, but pain alone does not always mean immediate treatment is required.
Some toothaches result from temporary irritation or sensitivity. Others indicate infection inside the tooth.
Tooth pain that may wait briefly
- sensitivity to cold foods
- mild discomfort when chewing
- temporary gum irritation
These symptoms often improve with over-the-counter pain medication and can usually wait for a scheduled dental appointment.
Tooth pain that signals a possible emergency
- throbbing pain that wakes you at night
- swelling around the tooth
- fever or general illness
- severe pressure pain when biting
Technical detail: pulpal inflammation
Inside every tooth lies the dental pulp, which contains nerves and blood vessels. When bacteria invade this space, inflammation increases pressure inside the tooth. Because dentin walls cannot expand, the pressure stimulates nerve endings and produces intense pain.
This condition often requires root canal therapy to remove infected tissue.
Persistent tooth pain often signals infection inside the tooth and should not be ignored. If your pain is getting worse or keeping you awake at night, a dentist should evaluate the tooth as soon as possible.
You can contact our team to discuss your symptoms or schedule an urgent visit. Find the nearest office on our locations page and request an appointment.
Does Facial Swelling Mean I Need Emergency Care in Artesia?
Facial swelling caused by a tooth infection can represent a serious dental emergency. Swelling occurs when infection spreads beyond the tooth into surrounding soft tissues.
Patients in Artesia who experience jaw swelling from infection should seek dental care quickly, especially if the swelling appears suddenly.
Symptoms that indicate urgent treatment
- swelling affecting the cheek or jaw
- difficulty opening the mouth
- fever or chills
- difficulty swallowing
Dental infections can spread into spaces beneath the jaw and tongue.
Dentists treat these conditions within the field of periodontics,which focuses on diagnosing and managing gum disease, bone loss, and infections affecting the structures that support teeth.
When infection progresses further, treatment may involve procedures designed to remove bacteria and stabilize gum health. In many cases, specialized treatments like gum disease therapy help stop infection before it develops into a severe dental emergency.
Technical detail: fascial space infections
The head and neck contain anatomical compartments called fascial spaces. When infection enters these areas, swelling can spread quickly and may interfere with breathing or swallowing.
Dentists treat these infections with drainage procedures and antibiotics.
If you notice sudden swelling or pressure in the jaw or face, contact a dentist immediately. Our offices offer urgent dental evaluations, and you can locate the nearest clinic through the
Gold Coast Dental locations page.
What Should I Do If My Tooth Gets Knocked Out?
A knocked-out permanent tooth is one of the few dental injuries where immediate action can determine whether the tooth survives.
Steps to take immediately
- Pick up the tooth by the crown, not the root
- Rinse gently with milk or saline if dirty
- Do not scrub or dry the root surface
- Try placing the tooth back into the socket
- If reinsertion is not possible, store the tooth in milk
- Contact an emergency dentist immediately
Technical detail: ideal storage medium
Milk works well for temporary storage because its pH and osmolarity help preserve periodontal ligament cells.
Prompt treatment significantly increases the chance of saving the tooth.
Are Dental Emergencies Different for Children and Adults?
Yes. Dental emergencies in children sometimes require a different approach because children have baby teeth (primary teeth) that will eventually be replaced by permanent teeth.
One of the most important rules in pediatric dental trauma is this:
A knocked-out baby tooth should never be placed back into the socket.
Reinserting a baby tooth could damage the developing permanent tooth underneath.
Parents should instead:
- control bleeding
- comfort the child
- contact a dentist for evaluation
If a permanent tooth is knocked out in an older child or teenager, dentists treat it the same way as in adults and attempt reimplantation if possible.
Understanding this difference is essential for parents during dental injuries.
Is a Cracked or Broken Tooth an Emergency?
A broken or cracked tooth may feel alarming, but the urgency depends on the severity of the fracture.
Dentists classify tooth fractures into several types.
| Fracture Type | Description | Urgency |
|---|---|---|
| Craze lines | Small enamel cracks | Non-urgent |
| Minor chip | Small enamel fracture | Routine |
| Cracked tooth | Fracture reaching dentin | Urgent |
| Split tooth | Fracture extending to root | Emergency |
Technical detail: dentinal tubules
Beneath enamel lies dentin, which contains microscopic channels called dentinal tubules. When dentin becomes exposed through a crack or fracture, these tubules transmit temperature and pressure signals to the pulp, causing sensitivity or pain.
If a crack reaches the pulp, infection can develop quickly.
When Is a Toothache Serious Enough to See a Dentist Immediately in Artesia?
Many patients wonder whether their toothache can wait until morning or requires immediate care.
Warning signs that require prompt dental evaluation include:
- swelling in the gums or jaw
- persistent pain lasting more than two days
- foul taste indicating infection
- sensitivity to pressure
Persistent pain often indicates pulp infection or developing abscess.
Ignoring symptoms may allow infection to spread deeper into surrounding tissues.

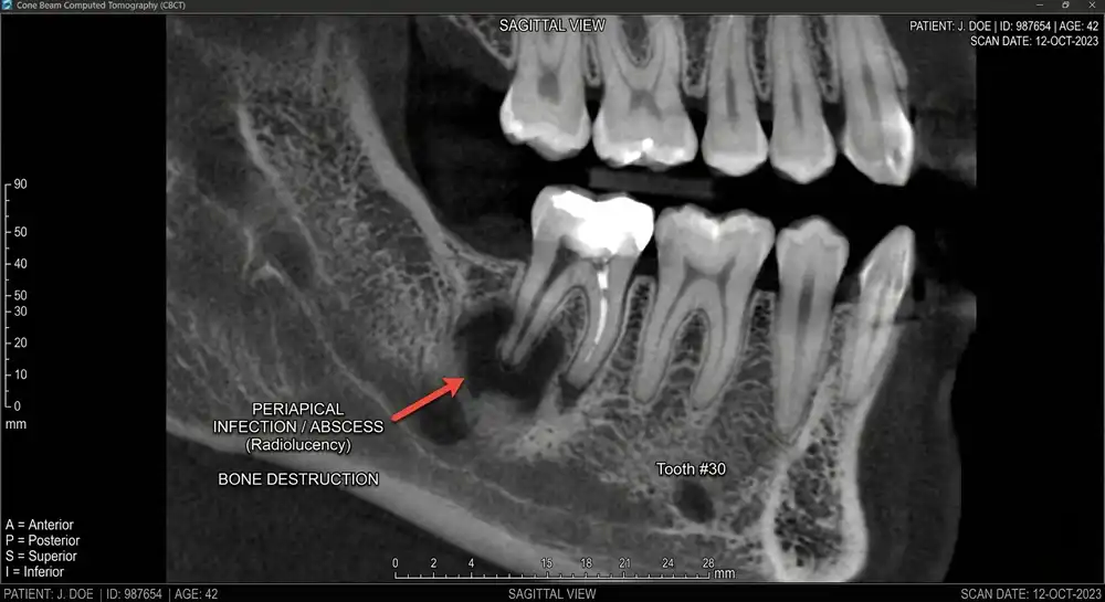
Can an Abscessed Tooth Become Life-Threatening?
A dental abscess forms when bacteria infect the pulp or surrounding bone. The infection produces pus and pressure inside the tissue.
Symptoms often include:
- severe throbbing pain
- gum swelling
- fever
- bad taste in the mouth
Technical detail: anaerobic bacteria
Many dental abscesses contain anaerobic bacteria, organisms that thrive in low-oxygen environments inside infected tissue. These bacteria can spread into surrounding tissues if untreated.
Rare complications include deep neck infections or systemic illness.
Prompt dental treatment removes the infection source and drains the abscess.
Should I Go to the ER or My Dentist for Uncontrolled Bleeding?
Bleeding in the mouth sometimes follows dental trauma or tooth extraction.
See an emergency dentist if
- bleeding follows dental treatment
- pressure with gauze reduces bleeding
- the bleeding originates from the gums or a tooth socket
Go to the emergency room if
- bleeding continues longer than 10–15 minutes
- the injury involves major facial trauma
- bleeding occurs with dizziness or weakness
Technical detail: clot stabilization
When bleeding occurs, platelets gather at the wound and form a fibrin clot that stops bleeding. Dentists may assist clot formation using pressure, sutures, or hemostatic materials.
Is a Chipped Tooth Considered a True Emergency?
A small chipped tooth rarely requires emergency treatment.
Minor chips usually involve only enamel and do not cause pain.
Dentists can repair these chips with composite bonding, a tooth-colored resin shaped directly on the tooth surface.
However, urgent care may be necessary if:
- the chip exposes dentin
- the tooth becomes sensitive
- the edge cuts the tongue or cheek
What Counts as Urgent Dental Care vs. Something That Can Wait in Artesia?
Dental problems fall into three categories.
True emergencies
- knocked-out permanent tooth
- severe swelling or infection
- uncontrolled bleeding
- traumatic injury affecting jaw structure
Urgent problems
- cracked tooth with pain
- lost crown or filling
- persistent toothache
Non-urgent problems
- mild sensitivity
- small cosmetic chips
- food trapped between teeth
Dentists generally schedule urgent problems within 24 hours.
What Happens If I Wait Too Long to Treat a Dental Emergency?
Delaying treatment can lead to several complications:
- infection spreading to surrounding tissues
- permanent tooth loss
- bone damage around the tooth
Technical detail: bone resorption
When infection persists, inflammatory signals stimulate cells called osteoclasts, which break down bone tissue. This process, known as bone resorption, weakens support around the tooth.
Once significant bone loss occurs, saving the tooth becomes much harder.
How Much Does Emergency Dental Care Cost in Artesia, and Will Insurance Help?
During a dental emergency, many patients worry about cost in addition to pain.
Emergency dental visits often include:
- an examination
- diagnostic X-rays
- pain relief or temporary treatment
Many dental insurance plans cover part of emergency evaluations, though coverage varies depending on the procedure.
Common treatments may include:
- root canal therapy
- tooth extraction
- temporary crowns or fillings
- infection drainage
Sometimes a tooth that was treated in the past becomes reinfected. In these cases, dentists may recommend root canal retreatment to remove bacteria, disinfect the canal system again, and protect the natural tooth from extraction.
Patients who want to understand how this procedure works in more detail can also read our clinical guide: Non-Surgical Endodontic Retreatment Guide.
Some dental offices also offer payment plans or financing programs such as CareCredit to help patients manage treatment costs.
If you have dental insurance, calling your dentist’s office allows staff to check benefits and explain expected costs before treatment.
How Can You Prevent a Dental Emergency Before It Starts?
While accidents cannot always be avoided, many dental emergencies are preventable.
Preventive habits include:
- wearing a mouthguard during sports
- avoiding chewing ice or hard candy
- maintaining regular dental exams
- treating small cavities early
Mouthguards and injury prevention
Athletes in contact sports face a higher risk of dental trauma. Custom mouthguards reduce the risk of tooth fractures and knocked-out teeth.
Regular dental checkups
Routine exams allow dentists to identify cracks, decay, or weakened restorations before they become emergencies.
Preventive care protects both oral health and long-term dental costs.
When to Contact an Emergency Dentist in Artesia
If you are experiencing severe tooth pain, swelling, bleeding, or dental trauma, do not wait for symptoms to worsen. Early treatment can prevent infection from spreading and may save the affected tooth.
Call our dental team right away or request a same-day emergency appointment online. Gold Coast Dental provides urgent and emergency dental care across Southern California. To find the clinic closest to you, visit the
Gold Coast Dental locations page and select the office most convenient for you.